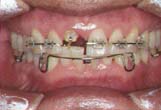
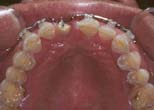
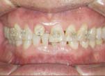
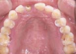
Forced eruption