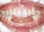
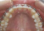
Ant. space closure or redistribution without movement of post. teeth