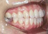
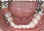
Molar uprighting