선천성 결손치 수복을 위한 전치부 심미 임플란트 교정

                         

                                전남대학교 치과대학 교정학교실
                                                황  현  식

외상이나 치아우식증에 의해 전치가 한 두 개 발치된 경우에는 그 자리에 그대로 임플란트를 매식하는데 아무 어려움이 없는 반면 전치부의 선천적 결손시 수복을 위해 임플란트를 해야 할 경우엔 거의 항상“임플란트 교정”을  필요로 하고 있다. 선천적 결손이 있는 무치악 부위로 인접치가 이동되어 맹출하기 때문에 보철을 위해서는 이를 원래의 위치로 되돌려야 하기 때문이다. 특히 결손치가 구치부가 아닌 전치부에 나타난 경우에는 인접치의 교정 위치에 따라 임플란트 보철물의 심미가 결정되므로 진단 및 치료계획 수립 시부터 세심한 고려가 필요하다. 또한 전치부에 결손이 있는 경우에는 인접치의 이동과 함께 전치부 spacing이라는 비심미적인 현상이 나타나므로 대부분의 환자는 영구치열기 초기에 교정을 하기 위해 내원하게 되고 fixture 매식 시기 등 많은 과정에서 임상의를 고민하게 하고 있다. 선천적 결손이 있는 환자에서 임플란트를 계획하고 있다면 진단 및 치료계획 수립 시부터 다음 사항을 고려하여야 차후 심미적인 임플란트 보철이 가능할 것으로 사료되는 바, 한 환자 증례를 예로 들어 이를 설명함으로써 치주, 보철, 구강외과 및 교정과적 협진치료 개념 정립에 도움이 되고자 한다.

    1. 임플란트가 가능한가
    2. 인접치의 위치는 어떻게 결정하는가
    3. 어느 치아까지 교정을 할 것인가
    4. 어떤 장치로 교정을 할 것인가
    5. 임플란트 매식은 언제 할 것인가

 Ⅰ. 증례

15세 7개월 된 남학생이 상악전치부 spacing을 주소로 내원하였다. 방사선사진을 촬영하고 상·하악 인상을 채득한 후 통상적인 방법으로 교정진단을 한 결과 다음과 같은 problem을 갖는 것으로 진단되었다 (그림 1,2).

        1. #12,22 Congenital missing and upper anterior spacing
      2. Lower denture midline shift to Rt side (0.5mm)
      3. Class Ⅱ molar on Rt side (1.5mm)
      4. Short root on  #11,21

     

  

  

 

                   

  

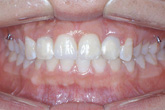
그림 1. 15세 7개월 된 남학생의 내원시 구강내 모습으로 상악 좌우 측절치 결손으로 전치부 spacing을 나타내고 있다.

             

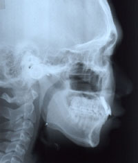
그림 2. 내원시 측모두부방사선사진과 파노라마 사진을 통해 결손부위에 인접한 치아들의 위치를 파악할 수 있다.

측모두부방사선규격사진에서는 상악골이 다소 돌출되어 있는 양상을 보이고 있는 것 외에는 두드러진 문제가 보이지 않았다. 파노라마 사진에서 상악중철치의 치근이 짧은 것이 눈에 띄었으며 좌우 견치가, 특히 좌측 견치가 견치위치라기보다는 측절치 위치에 자리잡은 것으로 나타났다. 석고모형 분석 결과 상악의 공간 양은 약 16mm로 측정되었으며 개개 치아크기를 평균치와 비교시 상악 양 중철치가 두드러지게 작은 것을 알 수 있었다. 반면 하악은 정상적인 배열을 보였다. 상·하악 교합 분석시 좌측은 정상적인 Cl I을 보였으나 하악 치열 정중선의 우측 편위와 함께 우측교합은 Cl II를 나타내었다. OB과 OJ은 3.0과 3.5mm로 정상보다 1.0 또는 1.5mm 큰 양상을 보였다 (그림 2,3).

       

 




-16.2



0.0

 

그림 3. 석고모형 분석을 통해 상악의 spacing 양은 총 16mm 정도임을 그리고 상악 중절치는 그 크기가 평균치보다 작음을 알 수 있다.

 Ⅱ. 안면비대칭의 원인과 치료

  1. 임플란트는 가능한가

임플란트 매식을 위해서는 bone의 양이 충분해야 한다. 수직적 골양과 함께 협설방향의 골양도 충분해야 한다. 일반적으로 선천적 결손이 있는 경우 인접치가 해당 무치악부위로 이동되면서 맹출하게 되므로 대개의 경우 무치악 부위의 bone 양은 충분하다. 극단적으로 인접치아가, 즉 측절치 결손의 경우 중철치 또는 견치가 완벽하게 제 위치로 맹출할 경우엔 측절치 결손부위의 골양이 문제가 될 수 있다. 치아의 맹출에 의해 치조골의 골양이 결정되기 때문이다. 그러나 다행히도(?) 인접치아는 결손부위로 이동되면서 맹출하게 됨으로 대개의 경우 골양의 문제는 나타나지 않는다. 물론 의심이 되면 방사선사진 그리고 단층사진으로 확인할 수 있으며, 필요에 따라 bone을 augmentation하는 보조술식으로 임플란트 치료를 가능하게 할수 있다.

골양과 함께 임플란트 매식 가능성 여부에 영향을 주는 요인은 수평공간이다. 임플란트 fixture가 매식되기 위해서는 인접치 치근 사이에 일정 공간이 확보되어야 하는데 fixture 근원심으로 각각 1mm 정도는 여유가 있어야한다. 가장 작은 diameter의 fixture가 3.5mm일 경우, 5.5mm의 공간은 확보가 되어야 한다. 교정치료로 인접 치근간 거리를 확보할 수 있는가의 평가가 필요하다.

본 환자의 경우 견치가 제 위치가 아닌 측절치 위치 쪽으로 맹출한 양상을보이고 있으므로 견치를 후방(원심)이동시켰을 경우 측절치 부위의 골양은충분할 것으로 예상된다. 아울러 현재 상악의 공간이 16mm 정도이므로 좌우 8mm 정도의 공간이 확보될 수 있으므로 임플란트를 위한 수평공간 또한충분할 것으로 예상할 수 있다. 다만 견치가 특히 좌측견치가 치근까지 같이 이동되어야, 즉 치체이동(bodily movement)이 되어야 fixture 매식이 가능한 반면, 치체이동 특히 견치의 치체이동은 다소 시간이 오래 걸리고 anchor loss의 위험이 있으므로 이에 대한 세심한 고려가 필요함을 미리 염두에 두어야 할 것이다.

  2. 인접치의 위치는 어떻게 결정하는가

무치악 부위로 이동하여 맹출한 인접치아를 제 위치로 이동시켜야 하는데,얼핏 생각하면 단순한 것 같으나 치아의 크기나 교합 그리고 OB, OJ 등의 문제가 병발한 경우 심미적인 임플란트 보철을 위해서는 여러 가지 세심한고려가 필요하다. 또한 이러한 위치 결정이 바로 교정치료 계획이므로 처음부터 신중하게 결정하지 않을 경우 교정치료기간 증가를, 그리고 나아가환자의 불만을 초래할 수 있음을 명심해야 한다.

인접치아의 수평위치는 중절치, 측절치, 견치 등 6개 치아의 근원심 폭경이 심미적으로 조화를 이루도록 결정되어야 한다. 일반적으로 1.618:1.0:0.618의 비율을 보여야 아름답다고 하는데 이러한 황금비율은 전면에서 보았을 때의 비율이지, 실제 치아의 근원심 폭경을 의미하는 것은 아니다. 악궁의 모양에 따라 다소 다르겠지만 중절치와 측절치의 실제 크기 비율은 1:0.7∼0.8이 될 것으로 생각하고 수평위치를 결정하여야 한다 (그림 4A).

수평위치와 함께 수직위치도 반드시 고려하여야 한다. 특히 smile line이 높은 경우에는 치아와 치은 경계선, 소위 gingival line의 모양 및 높낮이가 심미에 아주 중요한 역할을 하고 있다. Gingival line은 당연히 좌우 대칭이 되어야 하고 중절치, 측절치, 견치의 gingival line 높이가“high,low, high”의  관계를 갖고 있어야 심미적으로 보인다. Gingival line의 높이 조정은 gingivectomy 같은 치은 성형수술과 intrusion/extrusion같은 교정치료 두 가지에 의해 가능하다. 치은 성형수술과 교정치료 중 어느 것이 유리한 경우인지 파악하여 교정치료 후 수직위치를 결정하고 이를 치료계획에 반영하여야 한다. 아울러 임상치관의 길이:폭경 비율이 75% 정도가 되어야 심미적이라는 사실도 고려하여야 한다.만약 길이:폭경 비율이 맞지 않고 이를 개선시켜야 할 경우에는 gingivectomy 와 같은 치은성형술 그리고 라미네이트 같은 수복치료가 필요할 것이다. 즉 laminate로 수복할 것을 고려하여 해당치아의 수직위치를결정하여야 한다 (그림 4 B,C).

      

A

B

C

그림 4. 심미적인 임플란트 보철을 위해서는 인접치의 임플란트 교정치료 계획 수립 시 수평 및 수직위치 결정에 세심한 고려가 필요하다. 정면에서 보았을 때 황금비율을 이루도록 인접치의 수평위치를 결정하고(A), gingival line이 좌우 대칭이 되고 중절치, 측절치, 견치의 gingival line 높이가 “high, low, high”가 되게끔 수직위치를 결정한다(B). 아울러 임상치관의 길이:폭경 비율이 75% 정도가 되어야 심미적이므로 경우에 따라서는 laminate로 수복할 것을 고려하여 수직위치를 결정하여야 한다(C).

본 환자의 경우 상악 공간의 총합이 16mm 이므로 좌우로 같이 분배한다고 가정하면 8mm 크기의 측절치 보철물이 들어가게 될 것으로 예상할 수 있다. 이 경우 중절치가 8.0mm 이므로 아주 비심미적인 비율(8.0:8.0 = 1:1)이 초래될 것이다. 반면 중절치가 평균보다 작으므로 중절치를 9mm 로 증가시킨다면 잔여 공간은 7mm 씩이 되고 중절치:측절치 비율은 9:7 즉 1:0.777로 일반적인 심미적 비율인 1:0.7∼0.8에 해당될 수 있다. 물론 전면에서 보았을 때 1.618:1.0의 황금비율이 나타날 것인가 하는 것은 보철치료 또는 tentative restoration 후에 완전하게 평가할 수 있을 것이다. 어쨋든 본 환자에서는 차후 중절치는 라미네이트 등의 수복물로 그 크기를증가시키기로, 그리고 측절치 임플란트 보철물은 7mm 정도의 크기로 할 것을 전제로 중절치 및 견치의 수평적 위치를 결정하였다 (그림 5 A-C).

본 증례에서 견치 및 중절치의 수직위치는 gingival line을 보았을 때는 심각한 고려가 필요없을 것으로 보인다. 그러나 수평위치 고려시 중절치 폭경이 8mm에서 9mm로 증가하는 것으로 결정되었는데, 이 경우 중절치의 길이:폭경 비율은 9.0:9.0으로 더욱 비심미적이 될 것이다. 즉 라미네이트보철시 폭경 뿐 아니라 길이도 증가시켜야 함을 알 수 있다. 현재는 OB이 3.0mm로 정상보다 1.0mm 깊은 상태이므로 결국 중절치의 intrusion이 필요함을 알 수 있다. 즉, 본 환자의 중절치는 deep bite 치료와 관계없이 치관의 길이를 증가시키는 양 만큼 intrusion이 필요하다. 이상적 길이 폭경비율이 1:0.75라고 한다면 폭경이 9mm일 경우 길이는 12mm가 되어야 할 것이다. 즉 차후 치은성형수술로 1mm 정도를 확보할 수 있다 할지라도 2mm 정도는 intrusion시켜야 한다는 결론이 나온다 (그림 5 D,E).

 


 


 

A

 

B

 

C

                                                                                

 

 

 

 

 

F

 

 E

 

D

그림 5. 증례환자에서 중절치의 심미적 보철계획 수립 및 이에 따른 수평 및 수직위치 결정 과정

  3. 어느 치아까지 교정을 할 것인가

결손부위만 교정하는"부분교정"으로 할 것인가 아니면 구치부 그리고 반대악까지 같이하는"전악교정"을 할 것인가 하는 결정은 전적으로 다른 부위의 치료도 같이 할 필요가 있는가 하는 필요성의 정도, 그리고 개선을 원하는 환자 또는 보호자의 요구에 따라 결정된다. 교정력을 부여하는 교정치료의 특성상 작용-반작용의 법칙에 의해, 원하는 치아(moving teeth) 뿐 아니라 이동을 원하지 않는 치아(anchor teeth)도 불가피하게 움직이는 경우가 많아 대개의 경우 전악교정을 권유해 온 것이 현실이었다. 그러나 최근 anchor teeth의 이동을 최소화시킬 수 있는 passive bracketing, passive wire bonding 그리고 screw anchorage같은 최신교정 방법들이 개발되면서, 환자가 원하는 경우,“부분교정”의 가능성이 한층 증가하였다.

본 환자의 경우 상악 전치부 결손으로 인해 나타난 spacing을 주소로 내원한 반면 하악은 배열 상태가 양호하여 환자 보호자는 상악만의 치료를 요구하였다. 구치부 교합의 경우 우측은 Cl II를 나타내고 있었으나 환자 및보호자는 물론 인지하지 못한 상태이어 환자에게 이를 설명하였으나 환자가 고등학교 1학년 학생이어 장기간의 치료에 거부감을 갖고 있었다. 이에구치부 교합의 개선은 양보하고 전치부 임플란트 보철을 위해 space redistribution만 시행하는 소위 “compromised treatment”개념으로 치료하기로 합의하였다.

  4. 어떤 장치로 교정할 것인가

교정장치에는 크게 가철식과 고정식의 두 가지 장치가 있다. 모두가 알고 있듯이 가철식 장치에 의해서는 bodily movement를 기대할 수 없다. Controlled tipping도 아닌 uncontrolled tipping이 나타난다. Bridge같이abutment를 삭제하여 reshaping을 하고 치근의 위치가 큰 문제가 안 되는 경우와 달리, 임플란트 보철은 특별한 경우가 아니면 인접치를 그대로 두어야 함으로 그리고 치근의 이동이 필수적으로 필요함으로 대개의 경우 치아를 3차원적으로 섬세하게 조절할 수 있는 고정식 장치(edgewise appliance)를 필요로 한다.

Edgewise appliance 즉 bracket은 움직일 치아의 세세한 조절에는 매우 유리한 반면, 움직일 필요가 없는, 또는 움직여서는 안될 치아의 이동도 불가피하게 야기할 수 있는 것이 다소의 문제가 될 수 있는데, 이는 최근 개발된 passive bracketing 방법에 의해 간단하게 극복될 수 있다. Bracket 부착이 필요없는 부위에는 passive wire bonding 방법도 사용될 수 있으며치아만으로 anchor가 부족한 경우에는 screw anchorage 방법을 병용할 수도 있다.

본 환자의 경우 구치부 교합은 유지한 상태에서 전치부 치아만 이동시킬 계획이었으므로 구치부는 passive bracketing 방법을 적용하기로 하였다. 한편 견치의 원심이동을 위하여 구치부를 anchor로 한 elastic chain 방법을 사용할 경우 구치부의 anchor loss가 우려되고, 중절치와 견치 간에 open coil을 적용할 경우 중절치의 flaring이 나타날 것으로 우려되는 아주 곤란한 증례로 판단되었다. 따라서 본 환자에서는 구치부 협측에 screw를 매식하고 이를 anchor로 견치를 원심이동 시키기로 계획하였다. 한편 일반적으로 견치 후방이동시 다소의 경사이동이 나타나고 이는 전방에 있는 치아의 extrusion을 초래할 수 있는 반면 screw를 anchor로 하는 본 증례의 경우 screw가 전치부 치아보다 상방에 매식됨으로 인해 전치의 extrusion을 어느 정도 억제할 수 있을 것으로 기대하였다.

  5. 임플란트 매식은 언제 할 것인가

성인이 아닌 경우 즉 성장이 남아있는 상태라면 치조골의 수직성장도 계속일어난다. 상·하악골의 성장과 함께 그 사이 공간이 나타나고 이를 채우기 위해 상·하악 치아가 맹출하며 이에 따라 치조골도 수직성장하는 것이다. 두개골의 성장을 height, depth, width의 3방향으로 구분해서 볼 때 가장 늦게까지 성장이 나타나는 것은 height로 알려져 있으므로 임플란트 매식시 특히 전치부 single implant 매식시 이에 대한 고려가 반드시 필요하다. 성장이 남아있는 상태에서 single implant를 한 경우에는 인접치아는 맹출하고 임플란트 치아는 그대로 있음으로 결국 마치 ankylosis 치아와 같이“submerged” 양상을 나타내게 된다. 치관부 절단연의 차이는 새로운 보철로 극복이 될 수 있지만 gingival line의 부조화는 해결될 수 없다. 따라서 성장이 완전히 종료된 것을 확인하고 fixture를 매식하는 것이필요하다. 임상에서는 6개월 간격으로 측모두부방사선규격사진을 촬영하고이의 중첩을 통하여 성장 종료 여부를 확인할 수 있다.

본 환자의 경우 여성에 비하여 성장종료가 늦은 남자 환자이므로 성장종료시까지 충분히 기다린 후 fixture 매식을 권유하였으나, 환자사정상 교정치료 후 바로 fixture 매식을 하는 것으로 잠정적 결정을 하였다. 단, 초진시와 비교하여 측모두부방사선사진 중첩 결과 많은 양의 성장이 있을 경우에는 불가한 것으로 설명하고 치료를 시작하였다. 아울러 fixture 매식시 인접치에 비해 차후 약간의“submerged”현상이 나타날 것을 고려하여 bone height 설정을 하기로, 즉 osteoplasty 시 이를 고려할 것을 계획하였다.

한편 임플란트를 위한 교정치료의 fixture 매식을 debonding 전에 할 것인가 그 후에 할 것인가 하는 결정도 필요하다. 어차피 성장을 기다려야 하는 경우라면 당연히 먼저 debonding을 해야 하겠지만 교정치료 후 바로 fixture를 매식할 수 있는 경우라면 공간 재분배가 완료되는대로 즉 debonding 전에 하는 것이 보다 편리하다. 또한 최종 보철물도 빨리 들어갈 수 있으므로 환자 입장에서도 선호될 것이다. 특히 single implant의 경우에는 fixture 매식 전에 debonding을 하면 아무리 retainer 디자인을 잘 해도 결손치 인접치아의 완벽한 보정을 기대할 수 없다. 심한 경우 다시 교정해야 하는 경우도 종종 생긴다. 또한 fixture 매식 과정으로 retainer 장착이 얼마간이라도 불가하게 되어 이러한 문제가 더욱 가시화 될 수 있으며 술자와 환자 모두를 번거롭게 할 수 있다. 반면 debonding 전에 fixture를 매식할 경우 특히 immediate loading type의 경우라면 fixture 매식 후 바로 provisional crown을 형성할 수 있음으로, 교정치료후 이를 anchor로 하는 lingual bonded retainer 등 보정장치에 의해 완벽한 보정을 기대할 수 있다. 아울러 교정치료 마무리 과정 중 임플란트 보철물이 인접치 이동의 가이드 역할을 할 수 있으므로 인접치의 세세한 이동을 도모할 수 있으며 이로 인해 보다 심미적인 보철물을 기대할 수 있다.

 Ⅲ. 치료경과

 

구치부 교합은 변화를 원하지 않는 경우이므로 구치부 passive bracketing개념의 indirect bonding으로 bracket을 부착하고, 가는 wire를 사용하여 alignment를 시작하였다 (그림 6A). 016×022 Elgiloy가 들어간 상태에서 구치부에 교정용 임플란트인 screw를 매식하고 이를 anchor로 하여 좌우 견치를 원심 이동시켰다(그림 6B). 이때 구치부 치아는 main arch wire를 통하여 견치의 tipping을 막아주는 역할만 함으로, 눈에 띄는 근원심이동이나 교합변화가 나타나지 않는 것을 볼 수 있다(그림 6C). 양 중절치의 intrusion과 약간의 retraction을 위해 combination arch wire를 적용하였으며, 결손치 부위의 공간이 확보되는대로 임플란트 fixture(Frialit, 3.75mm)를 매식하였다 (그림 6D,E).

 

  A

 

 

  B

 

 

  C

 

 

  D

 

 

  E

 

 

 

그림 6. 증례환자의 교정치료 과정

 

 Ⅳ. 교정 치료 결과 및 차후 치료 계획

 

교정치료 후 debonding과 함께 상악 6전치 설측면에 .0195 twistflex를 사용한 lingual bonded retainer를 부착하였다. space closure와 함께 gingival bunching이 중절치 부위에 나타나 있음으로 충분히 기다린 후 (6개월 정도) 최종 보철물을 시행하기로 계획하였다.

최종 보철물 시행 시 필요하면 양 중절치  부위에 치은성형술 개념의 gingivectomy를 시행하고 다음과 같은 보철 치료를 계획하였다 (그림 7,8).

       1) 측절치 임시보철물의 근심면을 삭제 (1mm 정도)
       2) 중철치의 laminate 수복 (폭경은 1mm, 장경은 2mm 정도 증가)
       3) 중철치 형태에 맞추어 측절치 최종보철 수복

  

  

  

 

 

 

                 

  

그림 7. 증례환자의 교정치료 후 모습으로 차후 중절치 부위의 치은성형술과 함께, 측절치 임시보철물의 근심면 삭제 후 중절치의 라미네이트 수복(폭경은 1mm, 장경은 2mm 증가) 그리고 측절치의 최종보철로 심미적 보철물을 기대할 수 있다.

             

그림 8. 증례환자의 교정치료 후 측모두부방사선사진과 파노라마 사진

 Ⅴ. 결론

 

사회 경제적 여건의 향상과 함께 심미에 대한 관심 또한 증가하고 있다. 잔존 치아에 대한 보존 욕구 또한 증가함에 따라 임플란트가 늘어나고 있으며 심미적인 임플란트를 위해서는 교정치료가 반드시 필요하다. 효율적 교정치료 계획을 수립하기 위해서는 교정치료 개념 외에 치주개념, 보철개념 등 타 분야 진료에 대한 광범위한 이해가 필요하며 특히 자기 분야에 대한 한계와 타 분야 진료에 의한 가능성에 대한 충분한 고려가 필요하다.최적의 치과진료는, 특히 심미적 임플란트 보철은 “여러 전문분야의 협진” 에 의해서만 가능하다.

 

그림 9. 최종 보철 수복후 상태를 시뮬레이션 한 모습으로, 중절치 부위의 치은 성형술과 함께, 측절치 임시보철물의 근심면 삭제 후 중절치의 라이네이트 수복(폭경은 1mm, 장경은 2mm 증가) 그리고 측절치의 최종보철로 심미적 보철물을 기대할 수 있다.