Semi-Fixed Type Anterior Bite Plate

Full Bonding으로 치료 도중 구치부 deep bite로 인해 브라켓이 탈락하는 환자에서 효과적으로 쓸 수 있는 장치이다.

 

  제작

    ·Impression taking
    ·016 × 022 Elgiloy로 hook을 wiring
    ·Acrylic resin으로 bite plate제작

anterior view

occlusal view

inner view

 

  적용

    ·한쪽은 .010 S-S ligature로 ligation
    ·다른 쪽은 3-hole 길이로 cut한 elastic chain으로 Kobajashi hook과 bite plate hook을 묶는 식으로 ligation하고 환자에게 결찰방법 교육

 

 

그림 1

 

 

그림 2

그림 3

그림 4

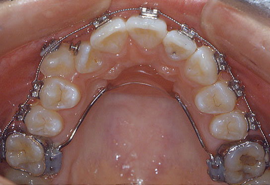
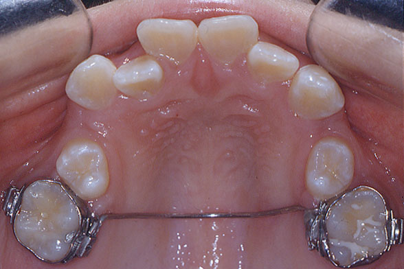
    그림 1  구치부가 deep bite인 환자 모습
    그림 2,3,4   ant bite plate 장착 모습
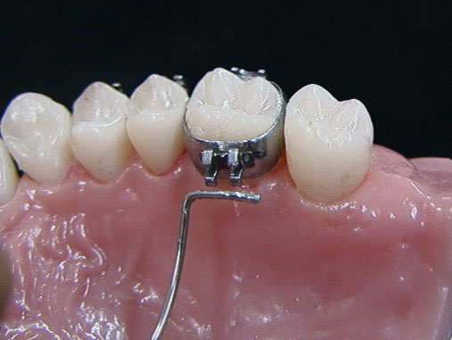
    우측 견치의 Kobajashi hook과 bite plate hook간을 elastic chain으로 묶어준다

 

  장점

    ·Elastic chain을 풀어 아침 저녁으로 oral hygiene care를 시행할 수 있다.
    ·Oral hygiene care외 시간에는 100% 장착을 하므로 ant bite plate효과가 극대화된다.

"Non-compliant" 하면서도 "hygienic" 한 Semi-Fixed Type의 Ant Bite Plate는 posterior deep bite 환자에서 유용한 장치이다.

 

Resin Fixation (RF) Type Lingual Arch

좌우 제 1대구치를 연결하는 Lingual Arch 와 Burstone lingual bracket 고정 시 lingual arch 와 lingual bracket 간의 play를 resin으로 채워 rigid fixation 시킴으로써 soldered type lingual arch 효과를 기대할 수있다.

 

  1. Types of lingual arch fixation

    

    1) soldered type (Band + Solder + 0.9mm S­S)

    2) friction type (lingual sheath + 0.9mm S­S)

    3) tie type (lingual bracket + 032" S­S + lingual wire)

    4) RF type(lingual bracket + 0.9mm S­S + resin)

 

  2. Limitations of conventional lingual arch types

 

     1) Soldered type

          ·solder 등의 기공 과정이 번거롭다

          ·착탈이 불가

     2) friction type

         ·제작이 어렵다

         ·기공과정이 번거롭다

         ·착탈이 어렵다

         ·파절이 빈발

     3) tie type

       ·Bracket 과 Wire 간 play 때문에 anchorage  효과가 떨어진다.

 

  3. RF type lingual arch fabrication

     

     1) band에 Burstone lingual bracket welding

     2) lingual arch 제작

        ; 0.9mm s-s 로 제작 한 후 bracket slot에 위치할 부위는      stone bur 로 grind

     3) resin fixation (RF)

        ; bracket slot에 위치할 wire 부분을 sandblasting한 다음      lingual arch를 010" 또는 011" ligature로 결찰하고 light      cured (혹은 chemical cured) adhesive로 resin fixation.

     4) 제거

        ; utility plies로 resin mass를 파절시키면 간단하게 제거할      수 있다.

 

lingual br

L-A sandblasting

ligation tie

Resin Fixation

NHA + Resin Fixation

Sheath + Resin Fixation

 

 4. Clinical application

 

   ·friction type (sheath) 에서도 사용할 수 있으며 확실한 고정으로     solder typed 의 효과를 쉽게 얻을 수 있다.

   ·Nance hold arch 제작 시 RF type을 사용하여 간단하게 제작할 수

     있다.

   ·sheath가 아닌 bracket type 에서는 pick-up impression 없이 구강     내에서 간단히 제작할 수 있다.

   ·bracket type의 경우 필요시 active type (Precision Lingual Arch)

     로 적용할 수 있어 훨씬 편리하다.